
За жизнь зубы человека подвергаются огромной механической нагрузке. Всевозможные травмы, пищевые привычки и нарушения прикуса способны стать причиной их преждевременного истирания
Причины для наращивания:
- Сильные повреждения зуба, вызванные кариесом
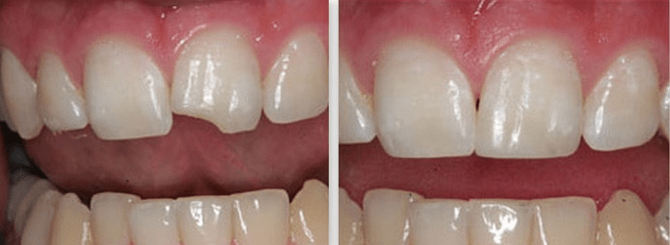
- Крупные сколы и трещины в зубной эмали
- Зубы сильно искривлены
- Зуб сломался, или откололась его часть
- Сильный износ зубного ряда
- Появление щелей в прикусе
Разнообразие технологий позволяет стоматологу выбирать способ реставрации в зависимости от степени повреждения зуба и места его расположения
Наращивание передних зубов обычно осуществляется при помощи фотополимеров или виниров. Последние более эстетичные, но и стоят дороже
Наращивание клыков выполняется как с помощью композитных материалов, так и коронок
Наращивание жевательных зубов выполняют с помощью коронок, что связано с тем, что они при жевании подвергаются повышенной нагрузке
Небольшие повреждения моляров могут быть устранены при помощи фотополимера