
Неправда
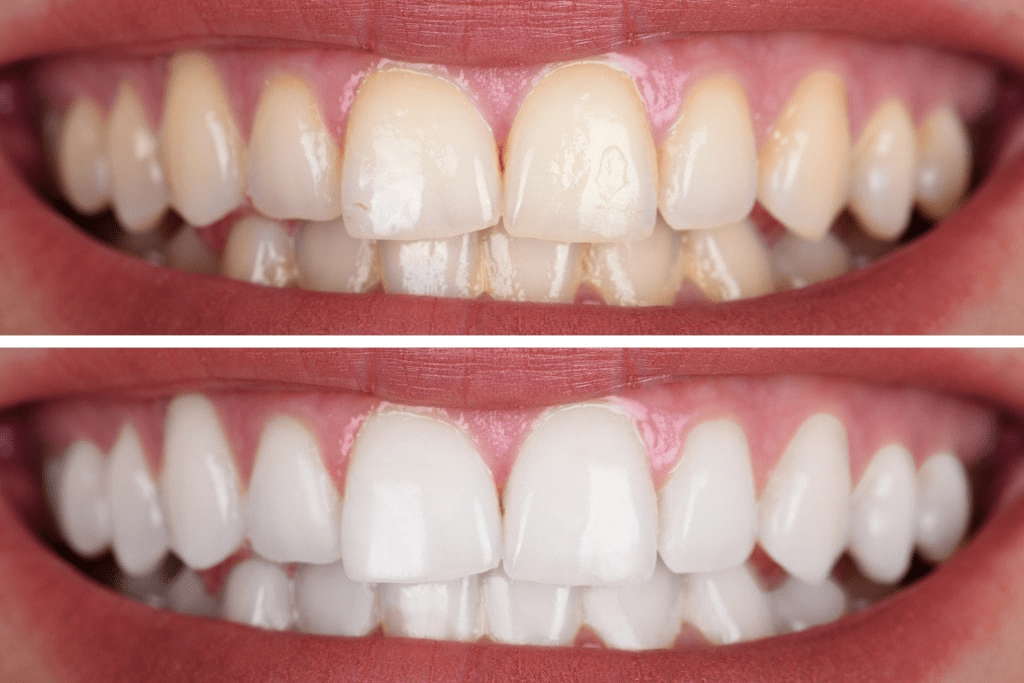
Различные отбеливающие зубные пасты с помощью абразивных добавок лишь убирают пищевое и никотиновое окрашивание с поверхности эмали зуба, осветляя её, но не отбеливая.
Настоящее отбеливание зубов дает только профессиональная стоматологическая процедура с применением соединений перекиси водорода или перекиси карбамида высокой концентрации. Современные профессиональные кабинетные отбеливающие системы позволяют отбелить эмаль не на один оттенок, как при механическом осветлении, а на два-три и более (по шкале Вита)